動態DR:減少漏診誤診率獲高端醫院認可
近年來,在全球范圍內的DR市場上,皆刮起了一陣陣“動態旋風”。新一代多功能動態DR的產生,在發展趨勢、臨床意義、利潤價值等方面都強勢崛起,成為了行業內炙手可熱的產品。動態DR的出現也同時宣告DR行業已經迎來了“動態時代”。
新一代多功能動態DR的臨床優勢也越來越深得四川大學華西第四醫院、內江市第二人民醫院、廣東省中醫院珠海醫院等大三甲醫院以及大量二甲醫院的信賴,這些醫院均有裝機動態DR。其高清連續點片功能、動態影像視頻保存回放功能、毫秒級動靜態轉換等功能,與常規DR相比,更易捕捉病變點,減少了漏診誤診率,受到了這些高等級醫院的高度認可。
面對常規DR誤診漏診頻繁出現的情況,動態DR是如何用其極致的產品優勢彌補缺陷的?讓我們先來看一組來自四川大學華西第四醫院提供的動態臨床案例。
案例來源:四川大學華西第四醫院
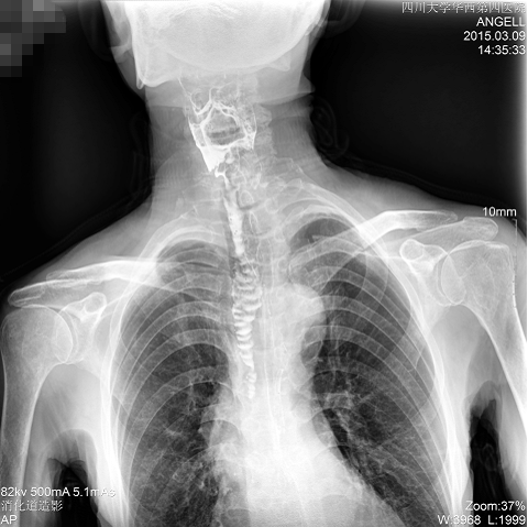
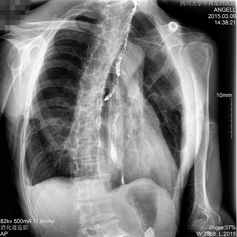
如下圖所示:該患者因吞咽時感到很難受,進食時也經常咳嗽故就醫診斷。華西醫院醫生使用動態DR為病人進行消化道造影診斷,要求他吞鋇后發現,食道各段通過順利,形態規則,雙側梨狀窩不對稱左側稍淺,多次吞咽動作后,仍見鋇劑滯留,并見鋇劑進入氣管,屬于會厭征陽性。會厭功能紊亂,鋇劑進入了氣管。

圖為正位:通過動態影像可以清楚看到鋇劑進入了支氣管道且雙側梨狀窩不對稱

圖為斜位:通過動態影像可以清楚看到鋇劑進入了支氣管道
檢查意義:
通過動態DR可以診斷該病人的癥狀為會厭功能紊亂,鋇劑進入到了氣管。而在動態透視下可以清晰的觀察到鋇劑從何處進入氣管,可清晰顯示食管粘膜結構。使用動態DR其獨特的視頻采集技術,可實時保存視頻并能實現900萬像素實時點片,才能獲取這樣清晰的病灶點。而常規DR只能拍攝靜態片,且成像效果大打折扣,因此較難確診病灶。
由此可見,動態DR所采用的數字探測器,全幀技術可以得到盡量大的光電二極管,能夠輸出更穩定清晰的影像質量。數字高壓技術具有高壓快門,能夠在毫秒級時間內,實現高壓的切換。超級圖像處理技術采用雙通道算法以及并行圖像處理技術。動態DR的探測器為17 "*17 ",完全可以在同一個屏幕中獲取整個檢查部位的視野,便于觀察。
其次采用動態DR視頻采集技術,經過一次順利的檢查后保存視頻,可以實時回顧分析采集圖像,也有利于疾病的隨訪、對比及會診。此外,在骨科診斷過程中,由于隱匿性骨折范圍小、程度輕,即使使用CT檢查敏感性也不高,MRI檢查費用過于昂貴,而用動態DR透視下的多軸位點片,可以明確隱匿性骨折的診斷,是避免誤診隱匿性骨折的有效辦法之一。動態DR對某些重疊病灶的診斷有著極高的臨床意義,在常規DR所拍攝的靜態片中很難區分重疊病灶是處在什么位置及哪個器官上,而通過動態觀察可以清晰的判斷和診斷,正是具有諸如此類的巨大優勢也因此獲得了越來越多高等級醫院的認可。

相關閱讀
- 凈利53%!骨科耗材企業,和茅臺一樣掙錢!2018-11-19
- 骨科醫療器械市場進口替代趨勢漸顯2016-07-11
- 食品藥品監管總局辦公廳關于多功能超聲骨刀等127個產品分類界定的通知2015-07-29
- NBA 攜手 GE 醫療 推動骨科與體育醫學研究2015-07-20
- 寧波第五批骨科耗材招標均降72.78%2015-05-26






