美國飛尼思除煙型利普刀各地代理商招募中

招商熱線:010-63429060。
宮頸癌現狀及治療
宮頸癌是最常見的女性生殖道惡性腫瘤,發病率在女性惡性腫瘤中居第二位。宮頸原位癌高發年齡為30~35歲,浸潤癌為45~55歲,近年來其發病有年輕化的趨勢。中國每年新發病例達13.15萬,宮頸癌死亡人數每年約5.3萬,約占全部女性惡性腫瘤死亡人數的18.4%。近幾十年宮頸細胞學篩查的普遍應用,使宮頸癌和癌前病變得以早期發現和治療,宮頸癌的發病率和死亡率已有明顯下降。
宮頸刮片細胞學檢查是宮頸癌篩查的主要方法。宮頸刮片細胞學檢查巴氏Ⅲ級及Ⅲ級以上、TBS分類為鱗狀上皮內瘤變,均應在陰道鏡觀察下選擇可疑癌變區行宮頸活組織檢查。宮頸刮片檢查多次陽性而宮頸活檢陰性者或宮頸活檢為宮頸上皮內瘤變需排除浸潤癌者可采用利普(LEEP)刀技術切除病變部位。
什么是利普(LEEP)刀技術
LEEP是子宮頸電熱環切術(Loop Electrosurgical Excision Procedure)的英文縮寫,是近年來用于宮頸疾病臨床治療的一種先進的微創型電外科切除技術。
LEEP技術對宮頸上皮內瘤病變(CIN)陰道上皮惡性病變(VIN)的處理,可以連續切除宮頸癌發病高危區(宮頸鱗柱上皮交界處),有效預防宮頸癌,使用它手術安全、有效,不需住院,并發癥少,并可保留完整、連續的標本進行病理檢查,明顯降低宮頸癌的誤診率和漏診率。
美國飛尼思Fin-220除煙型利普刀六大產品優勢
美國飛尼思Fin-220除煙型利普刀,注冊證號為國械注進20183250179。整機原裝進口,通過美國FDA,歐盟CE認證。

1.優秀的組織病理學結果
——產品功率平穩準確,切除更順暢,熱損傷更小,電極不易損壞,為病理檢測提供一流的組織學標本。

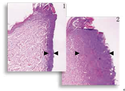
圖1,2
減輕熱損傷 組織學顯示,對比標準的電切尖端切口(圖2 ),表觀切口(圖1)明顯熱損傷減少

圖3,4
傷口愈合改進 觀察豬皮皮膚切口的縮影(圖3 )與標準的尖端切口(圖4 ),經由梅森氏三色染色顯示纖維增生明顯減少,如膠原沉積的程度和炎癥反應。
2.電極設計獨特
a.所有環形電極采用高級鎢絲電極,高溫工作時機械強度更高。獨特T型支架設計,更加安全,可靈活調節切割深度,切割更加精確,使用壽命更長。
b.顏色鮮明獨特,無需記憶具體型號,便于使用者區分。


c.C-LEZT錐切電極,治療深度子宮頸疾病,輪廓線形狀電極使切除邊緣始終清晰,提供98%的組織病理學診斷率;消除橫切除組件的熱損傷,保存健康的組織,減少復發和/或進展速度;同時還可以進行止血。
d.球形電極,起到良好的凝血作用,高電壓帶終端波形的電源應用于手術電極上,作用于需要止血的部位,起到良好的凝血作用。

3.有效保護患者安全
負極板可以安全自動監測、控制和報警,能有效防止儀器在異常情況下灼傷患者,安全性更高。 為了防止電外科手術過程中患者皮膚灼傷,全球電外科安全標準要求分散墊下方的溫升限制為6°C。熱成像測試證明FINESSE + Fin CQM系統可以在發生焊盤部位燒傷之前安全地關閉輸出。頂部圖像顯示完全連接的分散墊的最大溫升為2.2°C。當墊偏離患者皮膚橫向剝離時,Fin CQM系統將檢測到錯誤狀況。在Fin CQM允許的最極端條件下,檢測到的最大溫升為4.4°C(中心圖像)。如果沒有Fin CQM(底部),持續的墊分離會導致明顯的皮膚發熱,這可能會導致嚴重的患者灼傷。

4.為醫生健康保駕護航
高效可調節吸煙器,三級過濾技術( HEPA高效顆粒空氣預過濾+活性炭過濾+ULPA(超低壓滲透空氣)顆粒),可過濾99.99%以上小到0.1微米的顆粒,有效吸除有害微生物的煙霧,為醫生的操作提供一個干凈安全的工作環境。
手術煙霧的危害:
多項學術論文研究表明,手術煙霧中常見的成份包括: 有害的化學成份、活性病毒、活性細胞、非活性顆粒、可誘導突變的物質等,會對人體造成極大的傷害。
5.功能齊全,尺寸小巧
具有5種工作模式,滿足婦科使用的日常需求,操作簡單;吸煙器與主機為一體,占用的空間更小,便于攜帶,門診即可進行手術。
6.操作方便
界面簡單易懂,主機和吸煙器能通過手控裝置或腳踏板同步啟動,使醫生手術時無須分心儀器的操作。
生產商
猶他醫療公司是一家美國上市醫療器械公司,專注于女性及嬰兒健康,集研發、制造和銷售為一體。自1978年成立以來,將患者獲得最佳長期療效作為研發制造產品的標準,產品受到全球100多個國家的醫療保健專業人士的認可;同時,公司也一直致力于在全球范圍內拓展其產品的業務范圍,并與300多個國際經銷商建立了合作關系。目前全球許多國家都設有代表處,并可以直接銷售給澳大利亞、加拿大、法國、愛爾蘭和英國的終端用戶。據統計,2016年猶他公司凈銷售額的50%來自國際客戶。
中國總代理
北京華康普美科技有限公司成立于2008年,深耕婦科領域數十年,先后曾代理數個進口利普刀與陰道鏡品牌。2018年起,華康普美成為美國飛尼思除煙型利普刀中國總代理,做利普刀和陰道鏡,我們是專業的!
市場宣傳
作為2019年的重點項目,公司先后參加了陜西,湖南,四川,河南,湖北,河北,安徽等地方性展會,受到許多客戶的青睞。同時公司也積極參與了陰道鏡宮頸疾病方面的學術會議,在4月27日結束的全國宮頸陰道疾病診治規范化培訓暨婦產科模擬醫學培訓(上海站),飛尼思除煙型利普刀作為教學操作機器,完美的手術效果獲得了許多老師的一致好評。
5月份,華康普美還將赴深圳參加第五屆全國陰道鏡與宮頸病理學(CSCCP)大會以及上海第81屆中國國際醫療器械CMEF春季博覽會(展位號H7.1 G12,G14),歡迎廣大客戶蒞臨指導。
扶持機制
正式授權與產品培訓;
專業學術宣傳支持;
優質售后服務保障。
美國飛尼思產品介紹:點擊進入
聯系方式:
010-63429060。歡迎聯系我們索取更多資料。

相關閱讀
- 拒絕內卷!耗材全國聯采來了2025-09-16
- 14類耗材,最低價聯動2024-11-27
- 新一輪高值耗材集采或將啟動2024-03-12
- 二三類醫療器械實名制,再擴圍!2023-07-27
- 國家六部門發文,全國下半年帶量采購方向定了!2023-07-26






